Автор
)
profit.bg
Статии

Бизнес/Лични финанси
Пощенска банка награди най-добрите отбори на Националния есенен турнир по информатика на СМГ „Паисий Хилендарски“
Институцията е ключов партньор на състезанието, което тази година събра над 245 талантливи ученици от 5-и до 12-и клас

Живот/Сцена
Скарлет Йохансон влиза в „Екзорсистът“
Universal вади тежката артилерия на Холивуд след провалената инвестиция от 400 милиона долара за хорър класиката

Стратегии/Лични финанси
Влад Тенев: Младите мислят за пенсия от 19-годишни и спестяват консервативно
Според главния изпълнителен директор на Robinhood по-възрастните клиенти искат да се включат в „новото и готино нещо“, а младите предпочитат традиционни методи за инвестиране

Стратегии/Офис тенденции
Ще трябва да почака: Какво се случва с мечтата за четиридневна работна седмица?
Ентусиазмът около по-кратката работна седмица отслабва, защото работодателите затягат правилата, връщането в офиса става масово, а бъдещето на тридневния уикенд зависи от икономическия растеж и реалния напредък на изкуствения интелект

Технологии/Наука
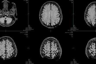
Учени идентифицират пет „епохи“ в развитието на човешкия мозък
Проучването, базирано на мозъчни сканирания на близо 4 000 души на възраст от под една година до 90, картографира невралните връзки и тяхната еволюция през живота ни

Стратегии/Офис тенденции
„Агенти, роботи и ние“: McKinsey обяснява защо AI няма да ви отнеме работата
Според нов доклад бъдещето на работната сила ще се определя от партньорство между човешки персонал, агенти и роботи – всички задвижвани от AI

Стратегии/Лидерство
Кой ще наследи човека, който наследи легендата? Четирима топ лидери в Apple се подготвят за ерата след Тим Кук
След 14 години рекорди на Тим Кук, компанията търси наследник, способен да поведе технологичния гигант към следващото десетилетие. Какви са профилите на претендентие Джон Търнъс, Крейг Федериги, Еди Кю и Грег „Джоз“ Джосуяк

Стратегии/Маркетинг и медии
Предпразничната шопинг треска идва с по-студен пазар, по-претенциозни клиенти и напрежение във веригите за доставки
Търговците в Европа и САЩ навлизат в сезона с по-малко празнично настроение и повече трудни прогнози, непредвидими поръчки, по-високи разходи и рекордно високи клиентски изисквания

Бизнес/Компании
Шефът на „Роснефт“: Санкциите ще доведат до нова икономическа криза в Запада
Според него Русия и Китай имат конкурентно предимство с по-ниски цени на електроенергията в сравнение със САЩ и Европа

Живот/Сцена
Мрачната ера на Холивуд: Защо се променя визуалният език на киното?
Втората част на Wicked е най-новият филм, който получи критики за липсата на цвят и непоследователно осветление

Стратегии/Лични финанси